男性不妊症(無精子症)の原因の一端を解明:生物界で広く保存されたヒストンの異型種が精子幹細胞の機能に必須であった!

2017-01-18 02:00

【概要】
加齢と共にいずれはなくなる卵子とは異なり、年を経ても精子は存在します。これは、精巣の中に精子の“もと”となる幹細胞が存在し、それが自分と同じ幹細胞を作り出す細胞分裂(自己複製)と、精子を作り出す細胞分化の両方の機能があるためです(図1)。この幹細胞の仕組みに何らかの異常が生じると、精子を作ることが出来なくなり最終的には無精子症となります(図1)。このたび、中部大学の上田潤助教、近畿大学の山縣一夫准教授、九州大学の原田哲仁助教らのグループは、マウスをモデルに精子幹細胞が分裂はするが分化に異常が生じて結果的に無精子症になるメカニズムを明らかにしました。しかも、科学的に大変興味深いことに、このメカニズムが酵母からヒトまで保存されている「ヒストン」と呼ばれるDNAに結合するタンパク質の精巣タイプによって制御されていることが分かりました。この精巣型のヒストンを失ったマウスは見かけ上全く正常に発育し健康でしたが、雄が無精子症となり、完全に不妊になることが明らかとなりました(図2、図3)。さらに、このヒストンタンパク質とDNAの複合体の構造解析から、体細胞に存在する通常のヒストン-DNA複合体に比べて、その結合がやや弱いことが明らかとなり(図4)、この精巣だけで見られる特殊なヒストンの化学的性質が精子幹細胞から精子が形成されない原因であったと推測されます。
本研究成果は、2017年1月18日午前2時(日本時間)に米国の学術誌「Cell Reports」(インパクトファクター:7.870)オンライン速報版に公開されました。

【研究の背景】
私たちヒトを含むすべての真核生物のゲノムDNA(ヒトの場合、長さは約1.8メートル)は、ヒストンと呼ばれるタンパク質によって巻かれて、直径10マイクロメートルほどの微小な細胞核内空間に非常にコンパクトに収納されています。ヒストンタンパク質はH3、H4、H2A、H2Bの4種類のコアヒストンが8量体を形成し、その周りをDNAが約2回転することでヌクレオソームと呼ばれる構造を形成しています。ヌクレオソームは、すべての真核生物に共通するクロマチンの基本的構成単位で、エピジェネティクス(※1)にも深く関わっています。近年、ヒストンタンパク質に異型種(バリアント)が存在し、各々が独自の機能や組織特異性を持っていることが明らかとなってきました(図5)。

精巣にのみ発現するヒトのH3T遺伝子は今から約20年前(1996年)に発見されており、2010年に早稲田大学の胡桃坂仁志教授のグループによって立体構造と生化学的性質が解明されました(報道発表多数)。しかし、H3T遺伝子の生体内での機能は長らく不明のままでした。その理由は、ゲノムプロジェクトが2002年に完了していたにも関わらず、ヒトのH3Tに相当する遺伝子がマウスで見つかっていなかったからです。このような中、2015年に九州大学の大川恭行教授のグループによって新規のヒストン遺伝子のバリアントが多数発見され、偽遺伝子(※2)だと考えられていたものの一つがH3t遺伝子であることが明らかとなりました(図5)。今回我々は、偽遺伝子だと思われていたH3t遺伝子がタンパク質をコードし、精子幹細胞が分化するとH3tが発現し、精子を作るのに必要不可欠であることを明らかにしました(図6)。ところが、驚いたことに、成熟した精子からはH3tタンパク質が消えていました。このことから、H3t遺伝子は精子を作るためだけに特化した(精子作りが完了するとなくなる)ヒストンタンパク質をコードしていると考えられます。

【本研究成果が社会に与える影響(本研究成果の意義)】
現在我が国では男性不妊症が大きな問題となりつつありますが、その多くが未だ原因不明です。国立人口問題社会保障研究所が本年9月に発表したデータによると、2015年現在で日本においては、実に5.5組に1組が不妊治療を受けています。その半分は男性側が原因であり、多くは無精子症を含む乏精子症のケースです。今回マウスで発見した精子幹細胞の機能の分子メカニズムがそのままヒトに応用できるかについてはさらなる検討が必要ですが、H3t遺伝子欠損が男性不妊症としては極めて重篤な無精子症となることから、本研究がこういった症例に対して科学的な知見を少なからず与えていると考えています。今後は、この研究を発展させることで、H3T遺伝子やタンパク質の発現量を利用した男性不妊症の診断ツールの開発や男性不妊症の原因解明に繋がることが期待されます。
さらに、ヒストンタンパク質は様々な翻訳後修飾を受けて、エピジェネティクス(※1)に深く関わることが知られていますが、翻訳後修飾酵素の基質であると考えられてきたヒストンタンパク質にも多様性があり、ある特定の細胞種(今回の場合は精子)への分化に必須の役割を果たしているという事実は、エピジェネティクスの階層性を考える上で今後重要な概念になってくるものと考えています。

【特記事項】
本研究は文部科学省科学研究費補助金、新学術領域「動的クロマチン構造と機能」(代表・胡桃坂仁志・早稲田大学教授)、公益財団法人・武田科学振興財団の支援のもと行いました。また、本研究は早稲田大学の胡桃坂仁志教授のグループ、九州大学・生体防御医学研究所の大川恭行教授のグループ、東京工業大学・生命理工学院の木村宏教授のグループ、大阪大学・微生物病研究所の伊川正人教授のグループ、東京大学・分子細胞生物学研究所の岡田由紀准教授のグループならびに扶桑薬品工業株式会社の八尾竜馬主任研究員との共同で行ったものです。

本研究成果は、2017年1月17日(日本時間1月18日午前2時)に米国Cell Press社の学術誌「Cell Reports」オンライン速報版で公開されました。

Ueda,J.,Harada,A.,Urahama,T.,Machida,S.,Maehara,K.,Hada,M.,Makino,Y.,Nogami,J.,Horikoshi,N.,
Osakabe,A.,Taguchi,H.,Tanaka,H.,Tachiwana,H.,Yao,T.,Yamada,M.,Iwamoto,T.,Isotani,A.,Ikawa,M.,
Tachibana,T.,Okada,Y.,Kimura,H.,Ohkawa,Y.,Kurumizaka,H.and Yamagata,K.(2017)Testis-Specific Histone Variant H3t Gene is Essential for Entry into Spermatogenesis.Cell Reports,In Press.

上田 潤(1)(2)✟、原田 哲仁(3)✟、浦浜 嵩(4)✟、町田 晋一(4)、前原 一満(3)、羽田 政司(5)、牧野 吉倫(5)、野上 順平(3)、堀越 直樹(4)、越阪部 晃永(4)、田口 裕之(4)、田中 大貴(4)、立和名 博昭(4)、八尾 竜馬(6)(9)、山田 みなみ(1)、岩本 隆司(1)、磯谷 綾子(2)、伊川 正人(2)、立花 太郎(7)、岡田 由紀(5)、木村 宏(8)、大川 恭行(3)、胡桃坂 仁志(4)、山縣 一夫(2)(9)

1.中部大学 実験動物教育研究センター
2.大阪大学 微生物病研究所
3.九州大学 生体防御医学研究所
4.早稲田大学 理工学術院
5.東京大学 分子細胞生物学研究所
6.扶桑薬品工業株式会社
7.大阪市立大学大学院 工学研究科
8.東京工業大学大学院 生命理工学研究科
9.近畿大学 生物理工学部 遺伝子工学科
✟同等貢献
*責任著者

【用語解説】
※1 エピジェネティクス
我々の体を構成する細胞は同じ遺伝情報(ゲノムDNA)を持っているにも関わらず、機能の全く異なる200種類以上の細胞に分化することが知られています。このように、遺伝情報の変化を伴わないで細胞の個性が生み出される仕組みはエピジェネティクスと呼ばれています。

※2 偽遺伝子(ぎいでんし)
かつては遺伝子産物(特にタンパク質)をコードしていたと考えられますが、現在はその機能を失っているもののことを指し、「遺伝子の残骸」や「遺伝子の化石」とも呼ばれています。

【関連リンク】
生物理工学部遺伝子工学科 准教授 山縣 一夫(ヤマガタ カズオ)
http://www.kindai.ac.jp/meikan/1365-yamagata-kazuo.html

【キャプション説明】
図1.精子ができる仕組み。正常な精巣では、精子幹細胞は自己複製しつつ、細胞分化によって精子を形成します(左)。しかし、精子幹細胞に細胞分化異常が生じると、精子が作られずに無精子症となります(右)。

図2.H3t遺伝子を欠損すると野生型(左)に比べて著しく小さい精巣となり、不妊となります(右)。

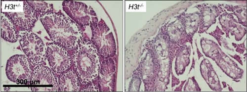
図3.H3t遺伝子を欠損すると精子形成不全となり、精子が全くない無精子症を呈します(右)。正常だと精細管の中に生殖細胞がびっしりと存在しますが(左図)、H3t遺伝子を欠損すると生殖細胞が失われ、精細管の中がすかすかになります。

図4.H3tを取り込んだヌクレオソームの結晶構造解析によって(左図)、通常のヌクレオソーム(右図)よりも開いた構造を取ることが明らかとなりました(中央図)。

図5.ヒストンには構成されるアミノ酸が一部異なる異型種が存在します。2015年に新規ヒストンH3がマウスとヒトで多数発見され、その内の一つがマウスのH3tでした(図は同定されたヒストンのアミノ酸配列の一部を示している。赤字はH3.3と異なるアミノ酸を示す。Maehara,K.,Harada,A.,et al.,Epigenetics&Chromatin,
2015を一部改変)。

図6.H3tに対する特異的抗体を用いた精巣切片の免疫染色画像。幹細胞(Plzf陽性細胞、赤色)にH3tタンパク質は発現しておらず、分化した細胞に発現しています(緑色)。

図6(文末にキャプション説明があります)
図5(文末にキャプション説明があります)
図4(文末にキャプション説明があります)
図3(文末にキャプション説明があります)
図2(文末にキャプション説明があります)
図1.精子ができる仕組み。正常な精巣では、精子幹細胞は自己複製しつつ、細胞分化によって精子を形成します(左)。しかし、精子幹細胞に細胞分化異常が生じると、精子が作られずに無精子症となります(右)。
ジャンル:
ニュースのシェア:
学校法人近畿大学
NC動画生成サービス
Copyright 2006- SOCIALWIRE CO.,LTD. All rights reserved.