梅雨到来…高温多湿でカビ繁殖モード!? キッチンのカビ対策は掃除が命!さらに素材にも着目! “ステンレスVS木材” キッチン素材の実験結果発表
この時期は要注意…! カビが発育しにくい、ステンレスキッチンがオススメ
クリナップ株式会社(本社:東京都荒川区)は、「キッチンカビに関する実験調査」を実施いたしましたので、内容をご報告いたします。
本実験調査では、木材よりもステンレスのほうが、カビが発育しにくく、常にカビ発生の脅威にさらされているキッチンの素材としては適していることがわかりました。
また、住宅におけるカビ研究の第一人者である、エフシージー総合研究所(FCG総研)取締役(暮らしの科学部部長)・川上裕司農学博士による、カビとの付き合い方について解説するコメントも公開いたします。

多湿列島ニッポンは「カビの楽園」?!
これから梅雨の季節を迎える日本列島。毎年この時期に、家の中のカビに頭を悩ませている人も多いのではないでしょうか。特に食べ物を扱うキッチンをカビから守り、衛生的に保つことは、家族の健康を維持するために極めて重要です。環境生物学の専門家で住宅におけるカビ研究の第一人者であるエフシージー総合研究所 取締役(暮らしの科学部部長)の川上裕司農学博士は、「カビが発生する条件は、湿度が高く(80%R.H.以上)、養分が豊富なこと。キッチンまわりは特に注意を払わなければならない」と警鐘を鳴らします。
そもそも日本は、一年を通じて湿度が高い。総務省統計局の「社会生活統計指標」によると、全都道府県の一年を通じた平均湿度(2017年)は69%で、47都道府県のうち、半数を超える24府県で70%を超え、まさに「多湿列島」と言えます。
特に、梅雨から夏場にかけての時期は、湿度・温度ともに高くなり、熱中症など人々の健康に対する深刻な脅威をもたらしています。日本気象協会の「7月・8月のジメ暑指数」(2016年)によると日本を代表する大都市である東京や大阪は、タイやインドネシアの都市よりも蒸し暑い日があるというから驚きです。
蒸し暑さに加えて、さらにキッチンでは調理の際に湿気や熱が発生し、食品素材から出る養分も豊富に存在するなど、常にカビ発生のリスクが高いと言っても過言ではありません。
カビの発生原因を正しく知ること。川上博士「大切なのはカビの完全排除よりも、繁殖させない工夫」

エフシージー総合研究所 川上裕司農学博士
それでは、どのようにカビ発生を防げばいいのか、川上博士に聞いてみました。川上博士は、「カビの発生原因で大きいのはまず湿度。80%を超えると繁殖のスピードを加速させる」と言います。住宅の気密性が高くなっている分、換気を意識して風通しをよくするのが基本的なカビ対策となります。
その次に大切なことは、カビを繁殖させない工夫です。キッチンまわりからカビを完全に排除することはできません。川上博士は「そもそも、醤油やみそなどの食品発酵に有益な麹菌などもカビの一種であり、生鮮野菜や果実にも必ずカビの胞子は付いているので、発芽して繁殖しないようにすることがポイント。ナス・キュウリ・トマトなどは買ってきたら収納する前に洗って汚れを取り除いておくことが大事。また、調理する際に、食材や調味料が飛び散ったりしたときには、気付いた時点で拭き取っておくという日常的な掃除がとても大切」と話します。
「目に見える部分はサッと掃除ができるので、少し意識すればカビ対策になるが、怖いのはキッチンの『見えない部分』」と川上博士は指摘します。「流し台の下は昔からカビの発生が多い場所。昔は開き扉式で、調味料のボトルなどを直接置いていたのでカビが発生しやすかったが、扉を開ければ被害を見つけやすい面もありました。今は引出し式が多いので、収納部分だけ気を取られていて、その奥のキャビネットがどうなっているか見えにくくなっています」と話します。
キャビネット自体は食材が入り込みにくい場所ですが、万が一入ってしまった場合は気が付きにくく、掃除もしにくいので、いつの間にかカビが生えてしまう恐れがあります。「掃除がしにくい場所では、どのような素材でキッチンが作られているか知っておいた方がいい」と川上博士は話します。

引出し式(左)と開き扉式(右)
カビの発育しにくいキッチンの素材は?ステンレスVS木材で実験を実施。
では、見えないキャビネット部分はどんな素材がよいのか。国産メーカーのキッチンキャビネットは木製がほとんどですが、ステンレスでつくられているキッチンもあります。

キャビネットがステンレス製のキッチン
ステンレスキャビネットキッチンを主力商品とするクリナップでは当社のキャビネットに使われているステンレスと木材を用意し、材質試験を行いました。試験方法はJIS(日本工業規格)のJIS Z 2911カビ抵抗性試験準拠法で行い、ステンレスと木材に滴下したカビ胞子懸濁液から発芽・繁殖したカビの発育度合を比較しました。
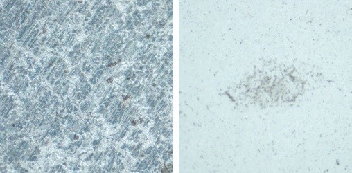
4週間後の試験結果では、ステンレス製はカビ胞子が発芽しましたが、表面で止まった状況が観察され(写真1)、一方、木材では、発芽したカビ胞子が内部へ侵入している状況が観察されました(写真2)。また、木材の方が発育が早くなる傾向が見られました。これにより、ステンレスと比べて木材は試験菌液が染みこみやすく、菌糸が木材内部へ侵入しやすいことが示唆されました。
試験結果

左:写真1、右:写真2
写真1 ステンレス試験結果 顕微鏡写真
ステンレス製はカビ胞子(黒い点)が発芽しているが、表面で止まった状態で内部へは侵入していない状況が観察できる。
写真2 木材試験結果 顕微鏡写真
木材では、カビが広がっており、発芽したカビ胞子が内部へ侵入している状況が観察された。
(クリナップ株式会社調べ)
カビが発育しにくい「ステンレスキッチン」。万が一カビが発生しても、拭き取れるのも魅力。
ステンレスキャビネットはカビが発育しにくいことが分かりましたが、万が一発育を発見しても金属なので拭き取ってしまえることも魅力的です。
キッチンのカビ対策は日常的な換気と拭き掃除に加えて、キャビネット素材を知ることが重要であるとわかりました。簡単に買い換えることができないキッチンだからこそ、一度キャビネット素材について考えてみるのもいいかもしれません。
クリナップのステンレスキャビネットキッチン「STEDIA(ステディア)」について

クリナップが昨年9月に発売したシステムキッチン「ステディア」は、カビだけではなく、サビ、水・油汚れ、熱にも強い「ステンレスエコキャビネット」を標準装備。
加えて大容量のオールスライド収納の「フロアキャビネット」、ファンとフィルターを自動洗浄できるレンジフード「洗エールレンジフード」など便利な設備を整え、時代を経ても輝き続けるキッチンです。
※価格:基本プラン 798,000円(税込861,840円/I型255cm/扉:Class5)
「STEDIA(ステディア)」 公式サイトURL











