脱水に気をつけて!眼底出血と脳卒中の意外な関係

網膜静脈閉塞症という病気を知っていますか?
眼底出血の主な原因のひとつに、網膜静脈閉塞症というものがあります。
目の底のカメラのフィルムにあたるところが「網膜」です。
人体には血を送る「動脈」と、血がかえる「静脈」の2つの血管があり、
この静脈が詰まると眼底出血や黄斑浮腫(網膜の中心がむくむ)を生じます。

静脈が詰まる原因は、いわゆる「動脈硬化」です。
網膜などの組織における細い血管(細動脈)が硬くなる動脈硬化は、血管の壁が分厚くなることで生じます。
分厚くなり太くなった動脈が静脈を圧迫して、静脈が押されて狭くなり、そこに血栓ができて詰まります。
言い換えると、このタイプの眼底出血がある方は強い動脈硬化があるということになります。
恐ろしいのは、この病気になっているかたは全身でも同じような変化が起こっている方です。
動脈硬化は目の健診でわかる!

これは強い動脈硬化がある方の眼底写真です。
色の薄い、黄色矢印のあるほうが「動脈」で、色の濃い赤紫色の線が「静脈」になります。
これは血管の中の血液が写っている状態で、「動脈」が細くなっていることは、動脈というパイプの中が細くなっていることを意味します。
ちなみに、動脈と静脈の太さの比は本来2:3と言われておりますが、この写真では1:5ぐらいになっていますね。

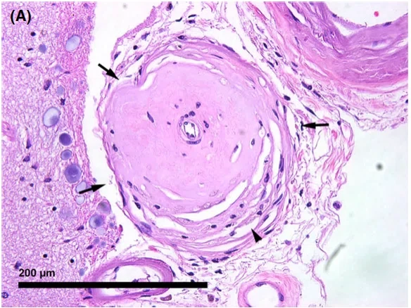
これは脳血管性認知症(脳梗塞が元で生じた認知症)の方の脳血管の画像になります。
先ほどあげた目の動脈硬化と同じ変化が脳の中の血管でも生じているという写真です。
黒矢印のところが血管ですが、ピンク色のコラーゲンがたまり、「動脈」の壁が分厚くなって硬くなっていることがわかります。
さらに、この動脈硬化は「血液の通り道が細くなる」ということを意味します。
キーワードは脱水
網膜静脈閉塞症は押された静脈に血栓ができて生じます。
血栓ができるメカニズムの一つに血液粘稠度の増加、すなわち血液がドロドロになっていることがあります。
この引き金が「脱水」になります。
網膜静脈閉塞症になった方の37.5%に脳卒中が生じるという衝撃的な論文が今年アクセプトされています(Kai-Yang Chen BMC Ophthalmol 2025)。
これは14本の論文をまとめたmeta-analysisというもので、約10万人分のデータがまとめられています。
脳卒中の原因は高血圧、脱水です。
脳卒中の一つである脳梗塞は、高血圧によって動脈硬化が進み、さらに脱水によって先ほどの通り道が細くなった血管が詰まることで生じます。
これは網膜静脈閉塞症と同じ背景になります。
ここから、「眼底出血が見られた方は脳卒中になりやすい」という流れになります。
じゃあどうすればいいの?
夏と冬は脱水を生じやすいです。
今の日本の夏は暑過ぎて、水分補給がなかなか追いつきません。
冬は喉が渇きにくいため、こまめな水分補給を怠りがちです。
一般的には「目は心の窓」と言われていますが、眼底写真を一枚確認するだけで、全身の動脈硬化はわかります。
日本眼科医会は「40歳を過ぎたら受けよう!!眼底検査 目の健康を守るために」と言うキャンペーンを行っていましたが、
眼科医がおすすめする脳卒中の予防としては、
眼底検査と脱水対策です。
脱水対策は食事の際にたくさん水を摂るのではなく、こまめな水分補給が大事です。
体の中の水を切らさないように、日々の体のケアを意識していただけたら嬉しいです。

医療法人社団久視会 いわみ眼科
理事長:岩見 久司(医学博士・日本眼科学会認定 眼科専門医)
所在地:兵庫県芦屋市公光町11-2 CH158 BLDG HANSHIN ASHIYA 2F
公式サイト:https://iwami-eyeclinic.com/
TEL:0797-35-0183






