肺がんの早期発見を補助する先端読影支援システム 胸部読影支援システム「ClearReadシリーズ」 導入100施設を突破
株式会社東陽テクニカ(本社:東京都中央区、代表取締役社長:高野 俊也(こうの としや)、以下 当社)は、当社が国内で販売を手掛ける胸部読影支援システム「ClearReadシリーズ」について、導入施設数が2021年1月時点で100施設に達したことをお知らせします。

胸部読影支援システム「ClearReadシリーズ」は、先端画像処理技術により胸部X線画像や胸部CT画像の肺野部の視認性を高めることにより、医師が多数の画像を観察してわずかな変化を発見しそれが病気かどうかを判断する読影業務を支援します。あらゆる装置で撮影した画像に対し処理が可能であり、院内の運用を変更することなく、読影補助画像を医師が参照できるようになります。当社が国内で販売開始して以来、「ClearReadシリーズ」は健診施設に限らず一般診療を行う病院でも使用され、導入した施設からは、「読影精度や読影速度が向上した」、「心的ストレスが低減された」などの声が寄せられています。
当社は、先端医療画像処理技術を持つ胸部読影支援システム「ClearReadシリーズ」の機能やサービスの拡充を進めることで、医療機関のリスクマネジメント強化をサポートするとともに、病気の早期発見、国内の予防医療を支援し続けてまいります。
「ClearReadシリーズ」概要
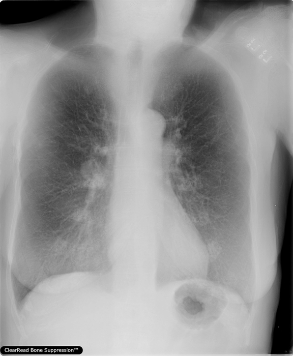
・胸部X線骨組織透過ソリューション/ClearRead BS※1
胸部X線画像の肋骨や鎖骨などの骨組織を透過した画像を生成し、骨組織と重なり検出が困難であった肺結節や異常陰影などの視認性を向上させる。
・胸部X線経時差分ソリューション/ClearRead +Compare※1
「ClearRead BS」にさらなる画像処理技術を搭載。同一患者の現在と過去の画像から骨組織を透過させるとともにその差分を抽出し、経時的変化部分を強調した画像を生成する。
・胸部CT肺血管透過処理システム/ClearRead CT-VS※2
胸部CT画像の肺血管を透過した画像を生成し、肺結節や異常陰影の視認性を向上させる。
※1 販売名:胸部X線骨組織透過処理システム ClearRead XR/医療機器認証番号:301AOBZX00003000
※2 販売名:胸部肺血管透過処理システムClearRead CT-VS/医療機器認証番号:301AOBZX00006000
「ClearReadシリーズ」特長
・「ClearRead BS」:胸部X線骨組織透過ソリューション
・「ClearRead +Compare」:胸部X線経時差分ソリューション
- 肺組織の視認性を大きく向上。骨組織透過処理、経時差分画像を生成
- 胸部X線画像上の病変の見落とし防止、気づきの促進
- 読影時の医師の心的負担を軽減
- 経営者のリスクマネジメントに貢献
- 国内外あらゆる胸部X線装置で撮影された画像に対応
▼製品情報URL(医療従事者向け)
https://www.toyo.co.jp/medical/products/list/contents_type=847
・「ClearRead CT-VS」:胸部CT肺血管透過処理システム
- 肺組織の視認性を大きく向上
- 肺血管透過処理画像を生成
- 胸部CT画像上の病変の見落とし防止、気づきの促進
- 読影時の医師の心的負担を軽減
- 経営者のリスクマネジメントに貢献
- 国内外あらゆる胸部CT装置で撮影された画像に対応
▼製品情報URL(医療従事者向け)
https://www.toyo.co.jp/medical/products/detail/clearread-ctvs.html
株式会社東陽テクニカについて
東陽テクニカは1953年の創立以来、世界最先端の計測機器の輸入販売を行ってきました。現在の事業分野は、情報通信、自動車、エネルギー、EMC(電磁環境両立性)、海洋、ソフトウェア開発、ライフサイエンスなど多岐にわたり、独自の計測技術を搭載した自社製品の開発にも力を入れ、国内外へ事業を拡大しています。
「“はかる”技術で未来を創る」のスローガンのもと、5G(第5世代移動通信システム)の普及や自動運転車開発なども支える最新ソリューションを提供することで、安全で環境にやさしい社会づくりと産業界の発展に貢献してまいります。
株式会社東陽テクニカ Webサイト: https://www.toyo.co.jp/












