肺がん患者の手術前の横隔膜の位置と予後の関連性を検証 手術のリスク評価や治療戦略立案への貢献が期待される研究成果

近畿大学病院(大阪府堺市)リハビリテーション部理学療法士 野口雅矢、近畿大学医学部(大阪府堺市)リハビリテーション医学教室臨床教授 東本有司、同外科学教室(呼吸器外科部門)主任教授 津谷康大らを中心とする研究グループは、肺葉切除術※1 を受けた肺がん患者を対象に検証を行った結果、術前の横隔膜の位置が、術後の生存率や呼吸器関連疾患による死亡率と有意に相関していることを世界で初めて明らかにしました。横隔膜の位置は簡便かつ患者に負担をかけずに評価可能で、今後、この指標が肺がん患者における手術のリスク評価や術後のリハビリといった、治療戦略立案の一助となることが期待されます。
本件に関する論文が、令和8年(2026年)4月21日(火)に、日本癌治療学会が発行する国際的な学術雑誌"International Journal of Clinical Oncology(インターナショナル ジャーナル オブ クリニカル オンコロジー)"に掲載されました。
【本件のポイント】
●肺がん患者の手術前の横隔膜の位置が、術後の生存率と関連することを世界で初めて明らかに
●術前横隔膜の位置が低い患者ほど、生存率が低く、呼吸器疾患に関連した死亡率も高くなることを確認
●横隔膜の位置は、胸部X線を用いて簡便かつ患者に負担なく評価可能で、今後の応用に期待
【本件の背景】
肺がんは、がんによる死亡原因の上位を占める疾患であり、世界的にも発症数・死亡数ともに非常に多いことが知られています。外科的に切除することが根治のために最も有効な方法であり、特に早期に発見された場合には良好な予後が期待され、近年は診断技術や治療法の進歩により、術後の生存率も着実に改善しています。一方で、術後の肺合併症、体力、術後の生活管理など、さまざまな要因が回復や長期的な生存に影響し、術後の経過は患者ごとに大きく異なることが先行研究で分かっています。そのため、手術前の段階でリスクを正確に評価し、個々の患者に適した治療戦略を立てることが重要となります。
肺がん患者のうち閉塞性換気障害※2 を伴う者は、肺の過膨張や機能低下により、術後の合併症や予後不良のリスクが高まることが知られています。こうした状態では呼吸に不可欠な横隔膜も機能低下する可能性があり、近年、横隔膜の機能評価の重要性が注目されています。しかし、従来の機能評価法である超音波検査は専門的な技術や装置が必要であり、日常診療での普及には課題があります。
そこで研究グループは、胸部X線画像から簡便に測定できる横隔膜の位置の高さである「横隔膜ドーム高※3」という指標に注目しました。横隔膜ドーム高は、肺機能や運動耐容能と密接に関連することが明らかになっており、より簡便かつ患者に負担なく術後予後を予測する指標となる可能性があります。しかし、これまで肺がん患者において、横隔膜ドーム高と術後の予後との関連性は明らかにされていませんでした。
【本件の内容】
研究グループは、近畿大学病院で肺葉切除術を受けた閉塞性換気障害併発の肺がん患者、302人を対象に調査を行いました。術前1カ月以内に撮影された胸部X線画像から横隔膜ドーム高を測定し、術後の経過との関連を解析しました。
その結果、横隔膜ドーム高が低いグループは、術後3年の生存率が有意に低いことが明らかとなりました。さらに、肺炎や呼吸不全などの呼吸器疾患に関連した死亡の場合でも、術後3年の生存率が有意に低いことが示されました。
本研究成果から、日常的な診察で用いられる胸部X線検査で、簡便かつ患者に負担なく測定できる横隔膜ドーム高は、肺がん患者の術後の長期予後を予測するために有用な指標となることが示されました。
【論文掲載】
掲載誌:International Journal of Clinical Oncology(インパクトファクター:2.8@2024)
論文名:Association Between Preoperative Diaphragmatic Dome Height for Overall Survival
in Patients with Lung Cancer and Obstructive Ventilatory Disorder
(閉塞性換気障害を有する肺がん患者における術前横隔膜ドーム高と全生存率との関連)
著者 :野口雅矢*1,2、東本有司3、武本智樹4、白石匡1、水澤裕貴1、神吉健吾1、
松沢良太2、玉木彰2、津谷康大4 *責任著者
所属 :1 近畿大学病院リハビリテーション部、
2 兵庫医科大学大学院リハビリテーション科学研究科、
3 近畿大学医学部リハビリテーション医学教室、
4 近畿大学医学部外科学教室(呼吸器外科部門)
URL :https://link.springer.com/article/10.1007/s10147-026-03022-1
DOI :10.1007/s10147-026-03022-1
【本件の詳細】
研究グループはこれまでに、慢性閉塞性肺疾患(COPD)※4 患者を対象とした研究において、胸部X線画像から評価した横隔膜ドーム高が、全身持久力の指標である運動耐容能や、超音波検査で評価した横隔膜機能と関連することを明らかにしてきました。また、他のグループの先行研究では、手術前後の肺がん患者における横隔膜機能が術後予後の重要な指標となることが示されています。しかし、その評価には主に超音波検査が用いられており、日常診療で広く活用するには課題がありました。本研究では、これらの知見を踏まえ、肺がん患者における術前の標準検査である胸部X線画像で評価した横隔膜ドーム高が、術後の長期予後に与える影響について検討しました。
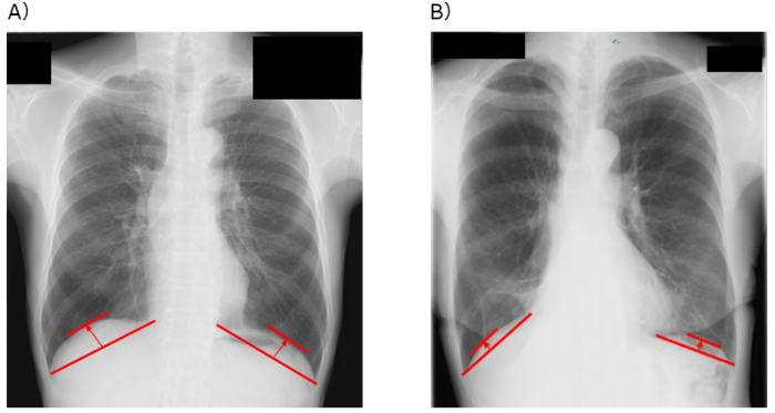
研究グループは、近畿大学病院において肺がんの肺葉切除術を受けた患者を対象に、術前1カ月以内に撮影された胸部X線画像を用い、肺腫瘍側の横隔膜ドーム高を測定しました。その結果、多変量解析※5 において、術前の横隔膜ドーム高は術後予後に影響を及ぼすことが知られている喫煙状況、肺機能、がんのステージなどの因子の影響を受けず、独立した術後予後を予測できる因子であることが明らかとなりました(HR=2.10、p<0.01)。さらに、時間経過に伴う生存率の推移を示すカプラン・マイヤー生存曲線※6 による解析では、横隔膜ドーム高が低い患者群において、3年間の全生存率※7 が有意に低く(p<0.01)、加えて肺炎や呼吸不全などの呼吸器疾患による死亡に限定した場合でも、3年の疾患特異的生存率※8 が有意に低いことが示されました(p<0.01)。これらの結果から、横隔膜ドーム高が低い患者群に対する術前呼吸リハビリテーションは、術後予後改善へ向けて重要である可能性が示唆されました。
本研究成果は、日常的な診察で用いられる胸部X線検査で、簡便かつ低侵襲的に測定できる横隔膜ドーム高が、肺がん患者の術後の長期予後を予測するために有用な指標となることが示されました。
【研究者のコメント】
野口雅矢(ノグチマサヤ)
所属 :近畿大学病院リハビリテーション部
職位 :理学療法士
学位 :修士(医療科学)
コメント:本研究では、肺がん患者における標準的な術前評価の一つである胸部X線画像から測定した横隔膜ドーム高と、術後の長期予後との関連を検証しました。その結果、横隔膜ドーム高が術後の生命予後を予測する重要な指標となり得ることが明らかとなりました。今後、手術を予定している肺がん患者の診療において、本指標がリスク評価に役立つことを期待しています。
【用語解説】
※1 肺葉切除術:ヒトにおいて、肺は右が上・中・下の3肺葉に、左が上・下の2肺葉に分かれている。肺がんの手術では、がんが含まれている肺葉のみを切除する「肺葉切除術」が最も一般的である。
※2 閉塞性換気障害:気道(空気の通り道)が狭くなることで、息を吐き出しにくくなる状態。主に慢性閉塞性肺疾患(COPD)などでみられ、呼吸機能の低下や呼吸困難の原因となる。
※3 横隔膜ドーム高:横隔膜がどれくらい上に持ち上がっているか(高さ)を示す指標。
※4 慢性閉塞性肺疾患(COPD):喫煙等が原因で発症し、正常に呼吸ができなくなる疾患。
※5 多変量解析:複数の要因(年齢、喫煙歴、肺機能、がんの進行度など)の影響を同時に考慮し、それぞれの要因が結果にどの程度関係しているかを統計的に評価する方法。
※6 カプラン・マイヤー生存曲線:時間の経過ごとの生存率を可視化する統計手法。
※7 全生存率:治療や診断の開始から一定期間後に、生存している患者の割合。
※8 疾患特異的生存率:対象とする病気による死亡に限って評価した生存率のこと。事故や他の病気など、別の原因による死亡は含まれない。
【関連リンク】
医学部 医学科 臨床教授 東本有司(ヒガシモトユウジ)
https://www.kindai.ac.jp/meikan/673-higashimoto-yuuji.html
医学部 医学科 教授 津谷康大(ツタニヤスヒロ)
https://www.kindai.ac.jp/meikan/2801-tsutani-yasuhiro.html
医学部 医学科 准教授 武本智樹(タケモトトシキ)
https://www.kindai.ac.jp/meikan/1618-takemoto-toshiki.html
近畿大学病院
https://www.med.kindai.ac.jp/
医学部
https://www.kindai.ac.jp/medicine/

