脂肪分と糖分の過剰摂取では血管異常の発生部位が異なることを発見 新たな血管疾患予防法の開発に期待

近畿大学大学院農学研究科(奈良県奈良市)博士前期課程2年生(当時)佐宗 宰、博士研究員 久後 裕菜、教授 財満 信宏、教授 森山 達哉を中心とした研究チームは、大木製薬株式会社との共同研究により、脂肪分を過剰に摂取した場合と、糖分を過剰に摂取した場合では、異常が生じる血管の部位が異なることを発見し、その違いが生じる原因も明らかにしました。本研究成果により、動脈硬化や動脈瘤といった血管疾患と食生活の関係への理解が深まり、血管疾患予防法の開発につながることが期待されます。
本件に関する論文が、令和3年(2021年)9月13日(月)に、脂肪細胞に関する専門国際誌“Adipocyte”にオンライン掲載されました。
【本件のポイント】
●脂肪分と糖分を過剰に摂取した場合では、異常が生じる血管の部位が異なることを世界で初めて発見
●脂肪分と糖分は異なる種類の脂肪細胞に影響を与えるため、過剰摂取した際に別の部位の血管に異常が生じることが明らかに
●本研究成果により、血管疾患と食生活の関係理解が深まり、血管疾患予防法の開発へつながることに期待
【本件の背景】
動脈硬化や動脈瘤などの血管疾患には、日々の食生活が影響していると言われています。最近の研究では、大動脈の血管周囲にある脂肪組織が、血管機能の調節に重要な役割を果たしていることが明らかになってきました。この脂肪組織の炎症を引き起こす原因の一つとして、脂肪分や糖分を多く含む食事が挙げられ、先行研究によって脂肪分や糖分の過剰摂取が、血管疾患や代謝性疾患の病態に様々な影響を及ぼすことが分かってきています。
本研究チームはこれまでに、ラットを用いた研究において、脂肪分を過剰に含む食事(高脂肪食)が腹部大動脈瘤の悪化を促進するのに対して、糖分を過剰に含む食事(高シュークロース※1 食)は大きな影響が生じないことを発見していますが、摂取する成分によって血管への影響に違いが生じる原因は不明でした。
【本件の内容】
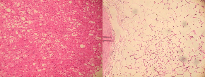
本研究では、ラットに高脂肪食と高シュークロース食を摂取させた際に、どの部位の大動脈と周囲の脂肪組織に影響が及ぶかを検証しました。その結果、高脂肪食を摂取させた場合は、腹部の大動脈の免疫バランスが崩れ、周囲の脂肪組織の悪性化が促進することが明らかになりました。一方、高シュークロース食を摂取した場合は、胸部の大動脈の免疫バランス異常と脂肪組織の悪性化が誘導されることが分かりました。さらに、腹部と胸部の血管周囲脂肪組織の詳細な解析を行ったところ、高脂肪食と高シュークロース食では影響を及ぼしやすい脂肪細胞の種類が異なることが明らかになりました。高脂肪食は主に白色脂肪細胞※2 に、高シュークロース食は主に褐色脂肪細胞※3 に影響を与えるため、それぞれの脂肪細胞が周囲脂肪組織に多く存在する血管部位の異常を引き起こすことが示唆されました。
本研究成果により、動脈硬化や動脈瘤といった血管疾患と食生活の関係への理解が深まり、新たな血管疾患予防法の開発へつながることが期待されます。

【論文掲載】
掲載誌:Adipocyte(インパクトファクター:4.53 @2020)
論文名:Different effects of high-fat and high-sucrose diets on the physiology of perivascular adipose tissues of the thoracic and abdominal aorta
(高脂肪食および高シュークロース食が、胸部および腹部大動脈周囲の脂肪組織の生理機能に及ぼす影響の違いについて)
著 者:佐宗 宰1,、久後 裕菜1、近藤 優弥1、宮本 健年1、南 百香1、東原 真代1、川本 宏和2、竹下 文章2、森山 達哉1,3、財満 信宏1,3
*共筆頭著者
所 属:1 近畿大学農学研究科、2 大木製薬株式会社、3 近畿大学アグリ技術革新研究所
【研究の詳細】
本研究では、ラットに高脂肪食と高シュークロース食、およびコントロール食を5週間与えた後、腹部と胸部の大動脈における免疫バランスと、大動脈周囲の脂肪組織にどのような影響が生じるかを検証しました。
まず、腹部大動脈に対する影響の違いを確認したところ、高脂肪食が腹部大動脈周囲の脂肪組織の悪性化を誘導し、腹部大動脈の免疫バランスを崩す一方で、高シュークロース食は腹部血管周囲の脂肪組織の悪性化を誘導せず、腹部大動脈の免疫バランスにも大きな影響を与えないことが分かりました。これにより、食事内容によって腹部大動脈瘤のような腹部の血管疾患の進展に差が生じる一因は、高脂肪食と高シュークロース食とで血管周囲脂肪組織への影響が異なるためであることが示唆されました。
一方、腹部大動脈には大きな影響を与えなかった高シュークロース食は、胸部大動脈とその周囲脂肪組織には悪影響(大動脈の免疫バランス異常と周囲脂肪組織の悪性化の誘導)を与えることが明らかになりました。さらに、高脂肪食は胸部大動脈とその周囲脂肪組織には大きな影響を与えないことが分かり、摂取する成分によって異常が生じる血管の部位が異なることが示唆されました。
この原因を明らかにするために、腹部と胸部それぞれの血管周囲脂肪組織の詳細な解析を行ったところ、高脂肪食と高シュークロース食で影響を及ぼしやすい脂肪細胞の種類が異なることが示されました。高脂肪食は主に白色脂肪細胞に影響を与え、高シュークロース食は主に褐色脂肪細胞に影響を与えることが分かり、主に白色脂肪細胞で構成される腹部の血管周囲脂肪組織は、高脂肪食摂取の影響を受けやすく、褐色脂肪細胞が多く存在する胸部の血管周囲脂肪組織は、高シュークロース食摂取の影響を受けやすいことが示唆されました。
なお、実験期間内では、ラットの体重や内臓脂肪に大きな変化は観察されず、食事内容が血管周囲脂肪組織や血管に及ぼす影響は、体重や内臓脂肪の変化よりも先に顕在化する可能性があることも示されました。
【今後の展望】
本研究によって、脂肪分と糖分の過剰摂取が及ぼす影響の違いが明らかになったことから、今後は人を対象とした栄養学研究などの解析時に、新たな研究観点を取り入れることが可能となりました。今後も研究を継続し、血管疾患と食生活の関係を多角的に解析していく予定です。
また今回の研究では、血管周囲脂肪組織の悪性化が血管の病的状態を引き起こすことが示唆されました。先行研究では、血管周囲脂肪を健全に保つことが血管の健康維持に重要であると報告されていますが、まだあまり着目されていない「血管周囲脂肪組織」の健全性維持を目指した研究が、新たな血管疾患予防法の提案につながると期待されます。
なお、本研究で使用した食餌は、高脂肪食と高シュークロース食の差異を明確にするために設計された実験用のものであり、一般的な食事と比較して極端なレシピになっています。そのため、例えば腹部大動脈瘤の患者が脂肪分を全く摂ってはならない、ということを示唆する研究ではありません。
【用語解説】
※1 シュークロース:砂糖の主成分。スクロースとも呼ばれる。
※2 白色脂肪細胞:見た目が白色に近いことから白色脂肪細胞と呼ばれる。中性脂肪を貯める機能を持つ細胞で、アディポサイトカインと呼ばれる生理活性物質を分泌する。アディポサイトカインは生命活動に重要な役割を持つ一方で、アディポサイトカインの分泌異常は、動脈硬化や糖尿病など様々な疾患に関与することが報告されている。お腹周りの脂肪は主に白色脂肪細胞で構成される。腹部の血管周囲脂肪組織を構成する脂肪細胞のほぼすべてが白色脂肪細胞である。
※3 褐色脂肪細胞:見た目が褐色に近いことから褐色脂肪細胞と呼ばれる。中性脂肪を燃焼して熱を作りだす細胞。胸部の血管周囲脂肪組織には褐色脂肪細胞が多く、白色脂肪細胞も一部存在する。
【関連リンク】
農学部 応用生命化学科 教授 財満 信宏(ザイマ ノブヒロ)
https://www.kindai.ac.jp/meikan/811-zaima-nobuhiro.html
農学部 応用生命化学科 教授 森山 達哉(モリヤマ タツヤ)
https://www.kindai.ac.jp/meikan/1060-moriyama-tatsuya.html


